[마왕퇴와 그 이웃-74] 귀부인에게 있었던 결핵의 흔적

1호묘 귀부인에게는 결핵 흔적이 있었다.
사실 결핵은 인류와 함께 아주 오래된 질병으로
아직도 전 세계에 결핵으로 많은 사람이 죽는다.
이 때문에 옛날 질병을 연구하는 고병리학자들 사이에 결핵은
반드시 규명되어야 하는 질병의 하나이고
많은 연구자가 결핵의 기원 구명에 매달려 있다.
사람 결핵은 사실 그 시작이 소와 밀접한 관련이 있다.
소에도 결핵이 있고 사람 결핵의 사촌쯤 되는 녀석이다.
일반적으로 소의 사육이 시작되면서 소 결핵이 사람으로 넘어 왔다고 보는 시각이 일반적이었는데
이것도 최근 유전학적 연구 발달로 이설이 많다.
사람한테서 되려 소로 넘어갔다고 하는 주장도 봤고,
소 결핵과 사람 결핵 사이의 공통 조상이 있다는 주장도 있었다.
어느 쪽이 옳건 간에 어쨌건
결핵은 20세기 초반 동아시아에 아주 많았고,
한국의 경우 필자가 대학생이던 시절에도 사방에 결핵환자였다.
하도 환자가 많아 우리나라를 "결핵왕국"이라고 부르는 일도 있었고
필자 또래 사람들은 기억하겠지만 크리스마스 즈음에는 "결핵 실"을 팔아 환자 치료비를 국가적으로 지원했다.
20세기 초반만 해도 결핵은 한 번 걸리면 죽는 사람도 많았지만,
지금은 병원에서 지시하는 대로 약만 제대로 복용하면 거의 완치된다.
하지만 복약이 조금 까다로와
치료에 실패하는 경우는 대개 조금 나아졌다고 복약을 환자 맘대로 임의로 중단하는 경우다.
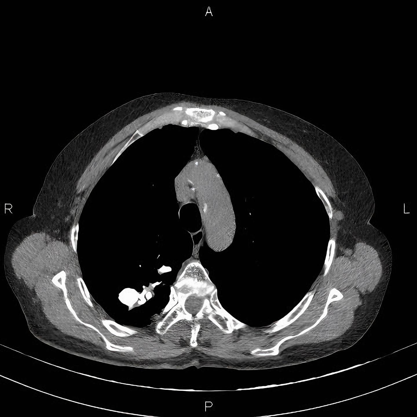
마왕퇴 귀부인에게서는 왼쪽 허파 위쪽에에서 "결핵성 경화병소"가 있었다고 하였는데,
아마도 결핵 때문에 오는 석회결절을 확인한 것일 터다.

결핵을 앓다가 오랜 시간이 지나면 그 자리에 석회 결절이 만들어진다.
이것은 방사선 사진을 촬영하면 하얗게 흔적이 나타난다.
결핵은 동아시아에서 농업의 개시와 관련이 있다고 보는 시각이 있다.
결핵이 처음 시작된 것은 소에서 사람으로 넘어왔지만
동아시아에서 결핵이 퍼져나간 것은 농업의 확산과 관련이 있다고 하는 시각이다.
이 때문에 일본에선 도작 농경이 한반도에서 들어간 야요이 시대 이후 한국 쪽에서 결핵이 일본으로 들어갔다고 하는 시각이 있다.
마왕퇴 귀부인의 연구가 우리 질병사에 많은 생각거리를 제공하는 셈이다.